Talk to us

Innovative Dental Solutions

At Dental Solutions, we redefine the standard of excellence in cosmetic dentistry and oral rehabilitation.

Our commitment to innovation drives us to provide cutting-edge dental treatments tailored to your unique needs.

With a team of highly knowledgeable specialists, state-of-the-art technology, and premium-quality materials, we deliver unmatched dental solutions efficiently and effectively. Discover a new era of dental care with us, where innovation meets excellence

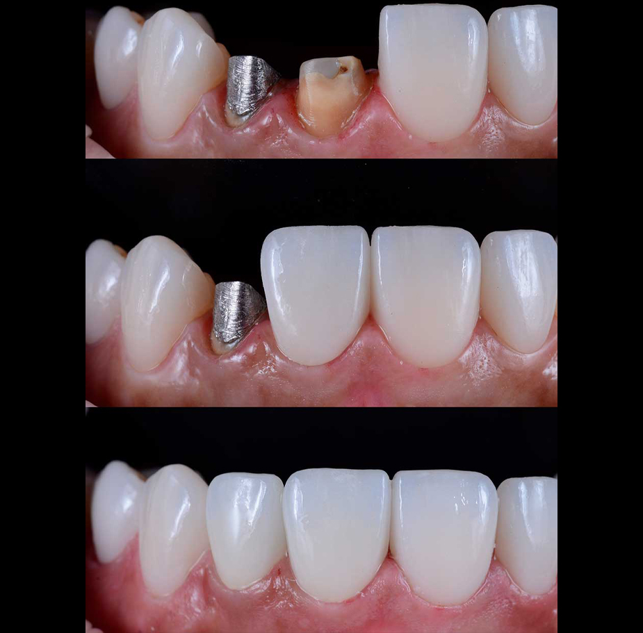
Porcelain Veneers

This technique provides our patients a better and higher aesthetics and great durability due the stability of the color, great resistance to wear and tear and very good acceptance of the gingival tissues.

Dental Veneers

A procedure that allows you to modify the size, shape and shade (color) of your teeth. Letting you see a big, positive and radical change in your smile quickly and safely.

Root Canal

A specialty of great importance because it allows preserving dental pieces through the management of the internal tissue of the teeth (Nerves or Pulp) therapy or behavioral treatment, restoring adequately according to the need, restoring the physical and aesthetic function. It is applied to natural dental pieces with deep lesions in their tissue to preserve them. They provide comfort, stability, support to artificial teeth which look and feel very natural. restoring the confidence of the patient.

Oral Rehabilitation

We restore aesthetic function and dental harmony by implementing veneers, fixed prostheses, and dental implantology.

Implantology

Oral implants are titanium screws, located in the bone, similar to a dental root, this screw will be the base that will support the new tooth; It is the most revolutionary and ideal therapy to replace a missing tooth.